心臓の先天性奇形~動脈管開存症~
コラムお知らせ
こんにちは、長岡京市の乙訓どうぶつ病院です。
8/27(木)はお盆の振り替えで臨時休診とさせていただきます。
ご迷惑をおかけして申し訳ありませんが、何卒よろしくお願いします。
まだまだ残暑が厳しいですが、朝晩は涼しい日がでてきていますね。
寒暖の差が激しいと動物たちも体調を崩しやすく、
単なる夏バテなのか・・・
何か病気があるのか・・・
飼い主さんは判断がつかないこともあるかと思います。
もし動物たちに不安な症状があれば、些細なことでも結構ですのでご来院ください。
当院が、飼い主さんと動物たちが安心して暮らせる生活の支えになれればと思います。
さて、今回は心臓の病気のお話です。
犬の先天性(うまれつき)の心臓病の中に、動脈管開存症という病気があります。
動脈管というのは赤ちゃんがお腹の中にいる間にだけ心臓周囲に存在しており、
通常産まれてから数時間で閉鎖してなくなってしまう血管です。
まれに、この血管が産まれてからも残ってしまうと、酸素や血液の循環が乱れてしまい、
犬では50%が3年以内に亡くなると言われています。
ただ、この動脈管開存症は、開胸手術にて血管を縛ってしまえば完治が望める病気ですので、
手術できる早期に発見することがとても大事です。
先日、この病気(動脈管開存症)のわんちゃんの手術をしました。
元気な5ヶ月のトイプードルの男の子です。
幸いにも早期で発見でき、術後も順調な経過ですので報告しようと思います。
以下手術の写真がありますので、体調のすぐれない方はご遠慮ください。
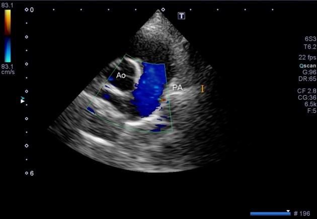
動脈管開存症は心臓の超音波(エコー)検査にて診断します。
この赤色の血液の流れが、動脈管の残存を表しています。

手術はわんちゃんに横向きに寝てもらい、肋骨の間を切開してスタートしました。
体重1.8kgしかないため、肋骨の間もとっても狭く見づらいです(-_-;)

慎重に開胸すると心臓や肺、神経が顔を出してきます。

もちろん心臓や肺は動いたままの手術ですので、少しのズレや力加減のミスが許されない緊迫した時間が流れます。

ついに大動脈と肺動脈という大きな血管の間に残った動脈管を分離しました!

切れないように慎重に糸で縛って、一安心。念のため二重に縛ります。
血圧や心拍数に大きな変化もなく、ここでやっと一息つけます。。。

後は肋骨を糸で縛って閉鎖して、皮膚も綺麗に縫合して終了。

右下のカテーテルは傷口に持続的に鎮痛薬を投与してあげるようにしばらく残しておきます。
術後2日目には食餌も食べ始め、順調な回復でしたので5日で退院。

術後の超音波検査では血液の流れがすべて青色になり、血管が完全に閉鎖したことがわかります。
トイプードルちゃんはすっかり痛みやつらさもなく、元気に毎日を過ごしております。
手術で完治すれば正常なわんちゃんと全く同じように生活でき、寿命もまっとうすることができます。
飼い主さんの不安も解消され、動物の命も護れる。
これからも、動物と飼い主さんが笑顔でいられるよう、スタッフ一同頑張りたいと思います。
今後とも何卒よろしくお願いします。
京都府長岡京市
乙訓どうぶつ病院
~乙訓地域(長岡京市、向日市、大山崎町)、島本町~




